
技术原理
免疫组化,是应用免疫学基本原理——抗原抗体反应,即抗原与抗体特异性结合的原理,通过化学反应使标记抗体的显色剂(荧光素、酶、金属离子、同位素)显色来确定组织细胞内抗原(多肽和蛋白质),对其进行定位、定性及定量的研究,称为免疫组织化学技术(immunohistochemistry)或免疫细胞化学技术(immunocytochemistry)。
实验步骤

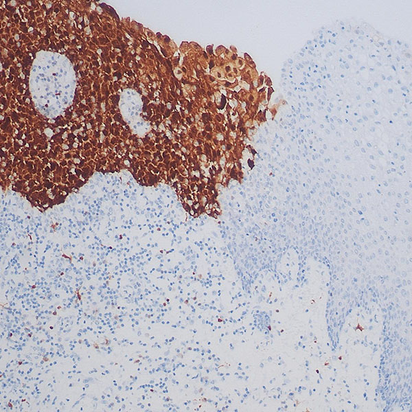
实验结果展示:

送样运输要求
1、石蜡切片制片,组织取样后应立即放入固定液中,避免冻存;
2、冰冻切片制片应取用新鲜组织,以免抗原丢失;
3、组织蜡块可以保存很长时间,但是石蜡切片理论上不能超过半年。冰冻切片不能超过3个月。
注意事项
1. 苏木素复染时间需要摸索,尤其阳性染色也在细胞核上。
2. DAB显色时间需要达到最优化,镜下观察达到阳性染色明显但背景不太深。
3. 抗体孵育时间和抗体浓度需要摸索。尤其一抗孵育最好在4度过夜。
4. 切片脱蜡和水化要充分;加反应液时要覆盖组织充分;每次加液前甩干洗涤液,但又防止干片;用组化笔画圈时尽量画大一点,否则墨水排斥液体,引起片周边干片。
常见问题
片子着色不均匀?
脱蜡不充分。可以60 ℃烤20 min,立即放入新鲜的xylene1;
水化不全。应经常配制新鲜的梯度乙醇;
抗体没混匀。用移液器充分混匀一抗/二抗等试剂;
抗体孵育时,切片放倾斜;
抗体孵育后PBS冲洗不充分。
制片厚薄不均匀等问题。染片盒不平,切片倾斜。
一抗从4 ℃拿出后,为什么有人说要37度复温,目的是什么?
一方面,防止切片从4 ℃直接放入PBS易脱片;
另一方面,使抗原抗体结合更稳定。一般不需要,但对表达较弱的抗原可能有用,4 ℃和37 ℃度时分子运动方式不同,前者分子碰撞机率和运动速度小于后者,后者结合更快,但敏感性也提高了并易造成非特异染色。
切片染色后背景太深,不易区分特异性与非特异性着色?
抗体孵育时间过长、抗体浓度高易增加背景着色。这可通过缩短一抗/二抗孵育时间、稀释抗体来控制;
一抗用多克隆抗体易出现非特异性着色,建议试用单克隆抗体看看;
内源性过氧化物酶和生物素在肝脏、肾脏等组织含量很高,需要通过延长灭活时间和增加灭活剂浓度来降低背景染色;
非特异性组分与抗体结合,这需要通过延长二抗来源的动物免疫血清封闭时间和适当增加浓度来加强封闭效果;
DAB显色时间过长或浓度过高;
PBS冲洗不充分,残留抗体结果增强着色;
标本染色过程中出现干片,易增强非特异性着色。